La gestione delle complicanze a lungo termine dopo un intervento di riparazione endovascolare dell’aneurisma aortico (EVAR) rappresenta una delle sfide più stimolanti per la radiologia interventistica moderna. Uno degli scenari più critici è la trombosi completa dell’endoprotesi, una condizione che richiede un intervento tempestivo e una strategia terapeutica estremamente personalizzata.
In questo articolo analizziamo un caso clinico complesso che evidenzia il valore di un approccio ibrido, capace di combinare la precisione delle tecniche endovascolari con il supporto della chirurgia tradizionale.
Il Caso Clinico: Trombosi Totale dell’Endoprotesi
Il paziente si è presentato alla nostra osservazione con una storia clinica di EVAR (effettuata circa un anno prima con endoprotesi aortica Cook). Gli esami di controllo mediante angio-TC hanno rivelato una complicanza severa: la trombosi completa dell’innesto al di sotto delle arterie renali.
Di fronte a questo scenario, l’équipe ha optato per una strategia “endovascular-first”, con l’obiettivo di ricanalizzare i vasi riducendo al minimo l’invasività per il paziente.
Fasi Salienti della Procedura
L’intervento è stato pianificato ed eseguito attraverso diversi step tecnici di alta precisione, vediamoli nel dettaglio:
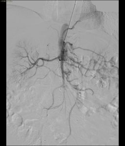
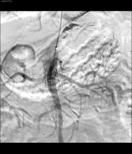
- Analisi del caso: Trombosi completa endograft

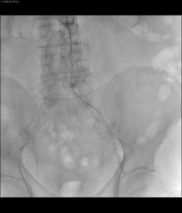
- Ricanalizzazione con filo guida

- Predilatazione

- Stenting

- By pass chirugico

- Controllo che mostra arteria renale non opacizzata

- Ricanalizzazione renale

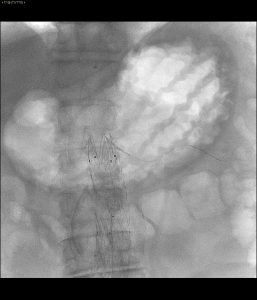
- Controllo finale con ottimo risultato angiografico

La Sfida Intra-procedurale: L’Occlusione Renale Inaspettata
Durante la procedura è emersa un’insidia improvvisa: l’occlusione dell’arteria renale sinistra. In questi momenti, la capacità di reazione del team e la versatilità degli strumenti endovascolari sono determinanti.
La Soluzione:
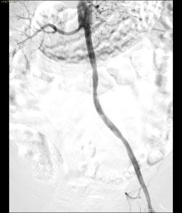
- È stata eseguita una cateterizzazione selettiva attraverso il “free flow” della protesi.
- È stato posizionato con successo uno stent Express LD (6×18 mm, Boston Scientific), ripristinando immediatamente la perfusione dell’organo.
Risultati e Conclusioni
Il risultato finale dell’intervento è stato ottimale:
- Pervietà completa di entrambe le arterie renali.
- Flusso sanguigno eccellente attraverso lo stent Viabahn.
Questo caso dimostra che le complicanze complesse post-EVAR possono essere gestite con successo grazie a una strategia ibrida sartoriale. La combinazione tra la precisione endovascolare e il supporto chirurgico permette di risolvere situazioni critiche, garantendo la sicurezza del paziente e l’efficacia del risultato a lungo termine.



